www.albaceteabierto.es
La UCLM codirige un estudio que demuestra cómo un gen es clave para la radio resistencia en células tumorales

La UCLM codirige un estudio que demuestra cómo un gen es clave para la radio resistencia en células tumorales

Por Redacción-Europa Press
lunes 19 de junio de 2023, 12:42h

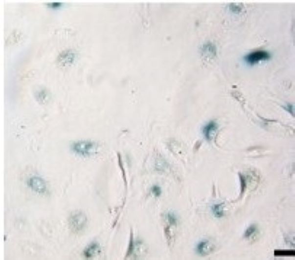
Investigadores del Laboratorio de Oncología Molecular del Centro Regional de Investigaciones Biomédicas --CRIB-- de la Universidad de Castilla-La Mancha (UCLM), del Instituto de Investigaciones Biomédicas de Madrid (CSIC-UAM) y de la Universidad Queen Mary, en Londres, han demostrado en un estudio cómo el gen MAPK11 es clave para entender los fenómenos de radio resistencia en las células tumorales al controlar el proceso de senescencia, una de las respuestas clave a la radioterapia.

En este trabajo se demuestra cómo la pérdida de este en gen en modelos celulares derivados de distintos tipos de tumores como colon, mama o pulmón, "adquirían una acusada radiosensibilidad. De hecho, se vio como una de las formas de que se detuviera el crecimiento tumoral mediate radioterapia, la senescencia, está extremadamente alta en las células en las que se anuló la expresión de MAPK11.", señalan.

Este trabajo, como añaden, abre la puerta no solo a futuras terapias basadas en el bloqueo de MAPK11, sino a la posibilidad de predecir fenómenos de resistencia a radioterapia en función de la expresión de este gen, según ha informado la institución académica en nota de prensa.

Los investigadores del Laboratorio de Oncología Molecular agradecen el patrocinio del Taller Solidario Árbol De La Vida (Las Pedroñeras), Asociación Comarcal Contra El Cáncer De Motilla del Palancar y las fundaciones ACEPAIN y Leticia Castillejo, así como a todos los participantes en la campaña 'Irradiando Esperanza' por hacer posible seguir trabajando en la investigación para la lucha contra el cáncer.

El trabajo está publicado en la revista científica Clinical and Translational Radiation Oncology. Se trata de la tercera mejor revista en radioterapia, que arrancó el año pasado su primer año en JCR con un IF de 4,8. Esta revista depende de la Sociedad Europea de Radioterapia Oncológica (ESTRO).

¿Te ha parecido interesante esta noticia?    Si (0)    No(0)

+
0 comentarios